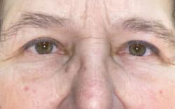
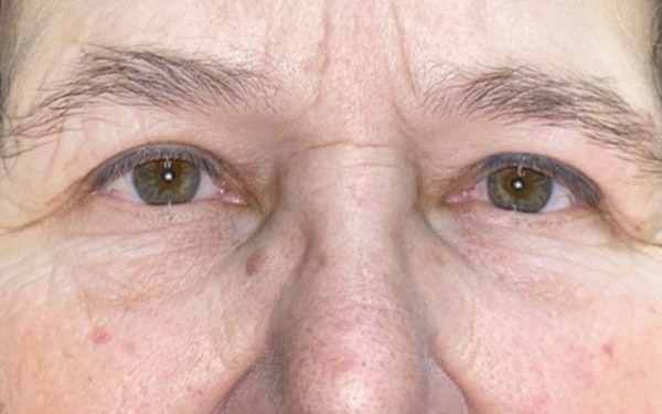
Eyelid Lift (Blepharoplasty/Ptosis Repair)

Eyelid Lift (Blepharoplasty/Ptosis Repair) Eyelid Lift (Blepharoplasty/Ptosis Repair)

Before

After

Eyelid Lift (Blepharoplasty/Ptosis Repair) Eyelid Lift (Blepharoplasty/Ptosis Repair)
View 1 of 3
Eyelid Lift (Blepharoplasty/Ptosis Repair) Eyelid Lift (Blepharoplasty/Ptosis Repair)
View 2 of 3
Eyelid Lift (Blepharoplasty/Ptosis Repair) Eyelid Lift (Blepharoplasty/Ptosis Repair)
View 3 of 3
Individual Results May Vary