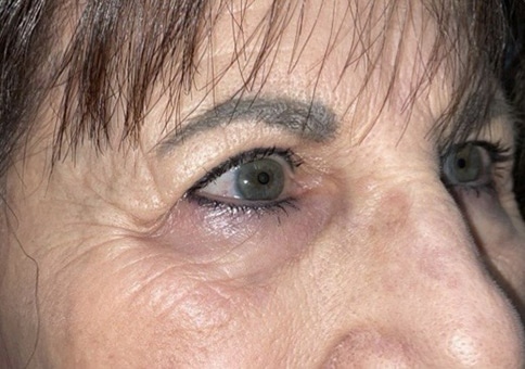
Brow/Forehead Lift

Brow/Forehead Lift Brow/Forehead Lift

Before

After

Brow/Forehead Lift Brow/Forehead Lift
View 1 of 3
Brow/Forehead Lift Brow/Forehead Lift
View 2 of 3
Brow/Forehead Lift Brow/Forehead Lift
View 3 of 3
Individual Results May Vary