Combination Surgeries (eyelid lift and other)

Combination Surgeries (eyelid lift and other) Combination Surgeries (eyelid lift and other)

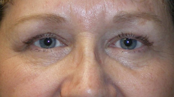
Before

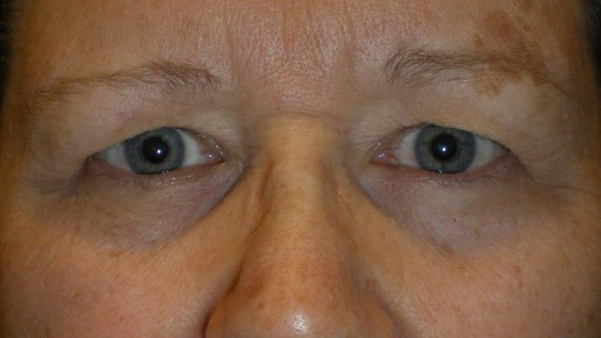
After

Combination Surgeries (eyelid lift and other) Combination Surgeries (eyelid lift and other)
View 1 of 1

Transfollicular Forehead Lift/Upper Blepharoplasty
Transfollicular forehead lift with an upper eyelid blepharoplasty – performed by Dr. Boerner

Individual Results May Vary