Upper Lid Blepharoplasty (upper eyelid lift)

Upper Lid Blepharoplasty (upper eyelid lift) Upper Lid Blepharoplasty (upper eyelid lift)

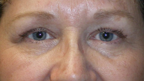
Before

After

Upper Lid Blepharoplasty (upper eyelid lift) Upper Lid Blepharoplasty (upper eyelid lift)
View 1 of 1

Transfollicular forehead lift with an upper eyelid blepharoplasty – performed by Dr. Boerner

Individual Results May Vary