Upper Lid Blepharoplasty (upper eyelid lift)

Upper Lid Blepharoplasty (upper eyelid lift) Upper Lid Blepharoplasty (upper eyelid lift)

Before

After

Upper Lid Blepharoplasty (upper eyelid lift) Upper Lid Blepharoplasty (upper eyelid lift)
View 1 of 1

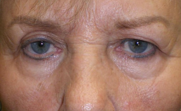
This lady had an upper eyelid blepharoplasty and a left internal brow lift. An internal brow lift is a technique used to slightly lift the outer brow, in this case creating more brow symmetry. Performed by Dr. Boerner

Individual Results May Vary