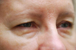
Upper/Lower Lid Blepharoplasty

Upper/Lower Lid Blepharoplasty Upper/Lower Lid Blepharoplasty

Before

After

Upper/Lower Lid Blepharoplasty Upper/Lower Lid Blepharoplasty
View 1 of 3
Upper/Lower Lid Blepharoplasty Upper/Lower Lid Blepharoplasty
View 2 of 3
Upper/Lower Lid Blepharoplasty Upper/Lower Lid Blepharoplasty
View 3 of 3
Individual Results May Vary